Awards Nomination 20+ Million Readerbase
Indexed In
  • Open J Gate
  • Genamics JournalSeek
  • Academic Keys
  • JournalTOCs
  • CiteFactor
  • Ulrich's Periodicals Directory
  • Access to Global Online Research in Agriculture (AGORA)
  • Electronic Journals Library
  • Centre for Agriculture and Biosciences International (CABI)
  • RefSeek
  • Directory of Research Journal Indexing (DRJI)
  • Hamdard University
  • EBSCO A-Z
  • OCLC- WorldCat
  • Scholarsteer
  • SWB online catalog
  • Virtual Library of Biology (vifabio)
  • Publons
  • Geneva Foundation for Medical Education and Research
  • Euro Pub
  • Google Scholar
Share This Page
Journal Flyer
Journal of Plant Pathology & Microbiology

Research Article - (2013) Volume 4, Issue 9

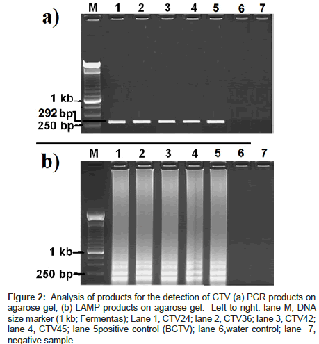
Visual Detection of Curly Top Virus by the Colorimetric Loop-Mediated Isothermal Amplification

Mohammad Amin Almasi1, Mehdi Aghapour-ojaghkandi2* and Saeedeh Aghaei2
1Department of Agriculture and Plant Breeding, Faculty of Agriculture, Zanjan University, Zanjan, Iran
2Young Researchers and Elite Club, North Tehran Branch, Islamic Azad University, Tehran, Iran
*Corresponding Author: